At Greg M. Lee Dentistry, our extensively trained periodontal therapist understands that when it comes to treating active periodontal disease, correcting the oral bacterial imbalance requires much more than just removing bacterial debris under the gumline in what has been traditionally called a “deep cleaning.”
To effectively treat infected tissues and remove biofilm deposits located deep below the gumline on the root structure of the teeth, we utilize a combination of diode laser therapy, localized antibiotics and chemotherapeutic irrigation in addition to non-surgical periodontal scaling.
Due to the direct connection between oral health and its effect on overall systemic inflammation in the body, our treatment not only addresses the specific areas of infection, but also the specific bacteria, yeast and viruses that contribute to systemic infection. We do this by utilizing saliva testing to identify the disease-causing pathogens present in your saliva in order to personalize your decontamination protocol to reach lasting stability through more holistic methods.

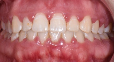
Initial Visit

Post Deep Cleaning

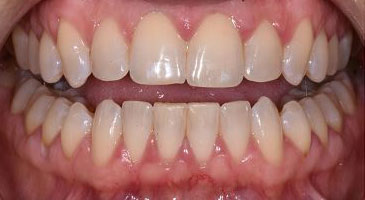
2 Week Post Deep Cleaning

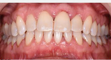
4 Week Post Deep Cleaning

Initial Visit

Post Deep Cleaning

2 Week Post Deep Cleaning

4 Week Post Deep Cleaning
For more information about our periodontal decontamination in Bend, Oregon, contact our office at 541-382-0414 and schedule a visit with our dentist, Dr. Greg M. Lee.